程颖教授 | 走向临床 落地实践 CAPSTONE-1研究成绩斐然,服务广大小细胞肺癌患者
来源:中国医学论坛报今日肿瘤 时间:2022-12-20 浏览: 次
导语:CAPSTONE-1研究是由吉林省肿瘤医院程颖教授和中国医学科学院肿瘤医院王洁教授牵头发起,全国47家医院参与,评估了阿得贝利单抗联合化疗一线治疗广泛期小细胞肺癌的疗效和安全性的一项随机、双盲、安慰剂对照、多中心III期临床研究,并于今年全文发表于《柳叶刀·肿瘤学》。其结果显示,相较于对照组,阿得贝利单抗联合化疗可显著改善患者的总生存期(15.3个月对比12.8个月),且安全性良好。这一出色数据充分展现了中国学者和中国创新药的风采。
为此,本报特邀程颖教授专访,深度解读CAPSTONE-1研究的亮点,并分享印象深刻的病例。以下整理精粹,让读者先睹为快。

程颖 教授
一级教授,国家临床重点专科学科带头人
博士研究生导师,博士后工作站导师
享受国务院特殊津贴,卫生部突出贡献中青年专家
吉林省癌症中心主任
吉林省肿瘤医院恶性肿瘤临床研究一体化诊疗中心主任
吉林省肺癌诊疗中心主任
中国临床肿瘤学会(CSCO) 副理事长
CSCO小细胞肺癌专业委员会主任委员
CSCO临床研究专家委员会候任主任委员
中国抗癌协会肺癌专业委员会候任主任委员
CSCO非小细胞肺癌专业委员会副主任委员
CSCO肿瘤大数据专家委员会副主任委员
中华医学会肿瘤学分会肺癌专委会副主任委员
中国医师协会肿瘤多学科诊疗专委会副主任委员
中国医师协会肺癌培训专业委员会副主任委员
国家卫健委常见肿瘤规范化诊疗专家组成员
吉林省医师协会肿瘤医师分会主任委员
吉林省医学会肿瘤专业委员会主任委员
程颖教授专访
程颖教授:IMpower133研究和CASPIAN研究发现PD-L1抑制剂阿替利珠单抗和度伐利尤单抗能够改善广泛期小细胞肺癌的生存,开启了小细胞肺癌免疫治疗之旅。但是这两项研究仅纳入了部分中国患者,而且这两款药物价格昂贵,也没能够进入医保,多数患者无力支付。
阿得贝利单抗是由恒瑞自主研发的一款PD-L1抑制剂,与阿替利珠单抗和度伐利尤单抗不同,阿得贝利单抗是一款IgG4抗体,基本没有抗体依赖的细胞介导的细胞毒作用(ADCC)和补体依赖的细胞毒作用(CDC)效应,同时阿得贝利单抗抗体Fc段采用234A/235A突变改造后,去除和巨噬细胞表面FCγRIIa结合的能力,消除抗体依赖的细胞吞噬作用(ADCP),下调了与FcγRI的结合能力,降低了ADCR作用。而且阿得贝利单抗与PD-1的结合更近似于天然的PD-L1与PD-1结合,亲和力强。鉴于阿得贝利单抗的独特优势,我们在小细胞肺癌领域开展了研究。CAPSTONE-1研究是一项阿得贝利单抗或者安慰剂联合EC方案一线治疗广泛期小细胞肺癌的多中心对照的随机III期研究,也是首个中国自主研发的PD-L1抑制剂在广泛期小细胞肺癌领域开展的研究。这项研究在2022年美国癌症研究协会(AACR)大会上首次报告结果,5月14日刊登于国际肿瘤领域顶级杂志《柳叶刀·肿瘤学》,得到了国内外学者的高度认可。CAPSTONE-1研究的主要终点为OS。研究纳入了中国47家医院的462例患者,经过中位13.5个月的随访,阿得贝利单抗联合化疗组和安慰剂联合化疗组的中位OS分别为15.3个月和12.8个月,显著降低28%的死亡风险,2年生存率达31.3%,使约1/3的患者生存期超过2年。中位PFS为5.8个月,降低33%的疾病进展风险,1年的PFS率是对照组的3倍多,充分展现了阿得贝利单抗稳健持久的肿瘤控制作用。而且在同类药物中,阿得贝利单抗联合治疗相比对照组irAEs发生率增加最低,仅增加10.6%,阿得贝利单抗联合治疗组中因AE导致停药和死亡的发生率最低(5.2%,0.9%),具有良好的安全性。
CAPSTONE-1研究的成功进一步增强了人们对于PD-L1抑制剂在小细胞肺癌治疗中价值的认可和信心,彰显了中国研究者、民族药企的研发实力,也打破了中国小细胞肺癌免疫治疗被国外药物垄断的现状,让中国小细胞肺癌患者拥有了更多的治疗选择。
CAPSTONE-1研究病例分享一
【基本情况】
患者老年女性,73岁。
首诊日期:2019年04月15日。
主诉:排痰性咳嗽2个月。
既往:腔隙性脑梗赛病史,无肿瘤家族史,无吸烟及饮酒史。
查体:ECOG-PS:1分,BSA:1.63m2,NRS:0分。
生命体征:体温:36.4℃,脉搏:90次/分钟,呼吸:20次/分钟,血压102/63 mmHg。
唇部可见瘢痕(既往外伤),浅表淋巴结未触及肿大,双肺听诊呼吸音清晰,未闻及明显干湿性落音。
【辅助检查】
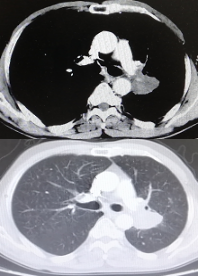
影像学-增强CT检查:右肺上叶中心型肺癌伴阻塞性肺炎,左肺下叶占位性病变,长径:2.9cm;纵隔及双肺门淋巴结转移,较大位于7组,短径1.1cm,肝脏多发点状异常密度影,考虑转移,多发骨转移。

CT检查——基线
病理诊断:小细胞癌。
免疫组化:CK弱+,Vim-,Ki67:80%+,CD45-,P40-,TTF-1+,CD56+,Syn弱+。

病理诊断结果
【临床诊断】
右肺上叶小细胞癌(cT4N3M1c,IVB期)广泛期
右肺阻塞性肺炎
纵隔及双肺门淋巴结转移
双肺转移
肝脏转移
骨转移
双肺炎
多发腔隙性脑梗塞
胆囊炎
肝血管瘤
【基线状态】
治疗前:
靶病灶:左肺病灶,29mm
非靶病灶:右肺上叶;双肺转移;右肺门、纵隔淋巴结;肝脏、骨转移;
排痰性咳嗽、气短、乏力;CTCAE5.0分级均为1级,均考虑与肿瘤相关,均无处置。
【一线治疗】
患者入组《SHR-1316联合卡铂和依托泊苷对比安慰剂联合卡铂和依托泊苷一线治疗广泛期小细胞肺癌的随机、双盲、安慰剂对照、多中心的III期临床研究》(SHR-1316-III-301 研究),采用阿得贝利单抗联合卡铂和依托泊苷一线治疗。
【疗效评估】
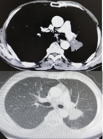
影像学-增强CT检查:治疗4周期后,病灶缩小31%,疗效评估为PR。
靶病灶:左肺病灶明显缩小;
非靶病灶:右肺门病变缩小。

CT检查——治疗4周期后
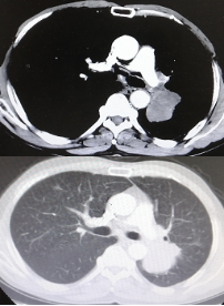
治疗9周期后,病灶增大30%,疗效评估为PD。
靶病灶:左肺病灶增大;
非靶病灶:右肺门较前相仿。

CT检查——治疗9周期后
此次治疗过程中,靶病灶变化情况先缩小再增大。

病灶变化统计表

靶病灶变化统计图
【安全性评价】
治疗中共出现6种AE,2种与试验药物可能无关(贫血、指端麻木);4种肯定无关(中性粒细胞计数降低、血小板计数降低、白细胞数降低、牙龈感染)。
无试验药物相关SAE;
与化疗药物相关3级AE为中性粒细胞计数降低、血小板计数降低,经处置恢复良好。
【后续治疗】
本例患者于2019.11.05出组临床研究,在2019.11.08-2020.04.15期间行紫杉醇+顺铂治疗6周期,最佳疗效为PR。
于2020.05.08患者发生脑出血于家中休养,疗效评估为PD。
最终于2021.01.03死亡,总生存期20个月。
CAPSTONE-1研究病例分享二
【基本情况】
男性患者,63岁。
首诊日期:2019年08月29日。
主诉:胸闷、气短3个月,诊断为左肺小细胞肺癌2个月。
既往:既往体健,无肿瘤家族史。吸烟史30余年,平均20支/日,戒烟5年。饮酒史30余年。
查体:ECOG-PS:1分,BSA:1.82m2,NRS:0分。
生命体征:体温:36.5℃,脉搏:74次/分钟,呼吸:18次/分钟,血压93/63 mmHg。
浅表淋巴结未触及肿大,胸壁静脉显露,左上肺叩诊浊音,听诊呼吸音减弱。
【辅助检查】
影像学-增强CT检查:左肺见不规则软组织影,包绕肺门结构,病变轴位长径约7.5cm,左肺散在结节影,最大约4.5cm;纵隔、肺门见多发淋巴结肿大,纵隔7组短径约2.0cm。

CT检查——基线
电子支气管镜:左肺上叶占位。

电子支气管镜结果
【病理诊断】
病理诊断:左肺小细胞癌。
免疫组化:CK(+),CK7(-),TTF-1(+),Cga(少量+),Syn(弱+),CD56(+),Ki-67(约90%)。

病理诊断结果
【临床诊断】
左肺小细胞癌T4N2M0 IIIB期 广泛期
左肺阻塞性肺炎
左肺多发转移
左肺门及纵隔淋巴结转移
左肺动脉癌栓
腔隙性脑梗塞
脂肪肝
高甘油三酯血症
【基线状态】
治疗前:
靶病灶:左肺病灶,75mm;左肺转移病灶,45mm;纵隔淋巴结,20mm;总和为140mm
非靶病灶:左肺多发转移;左肺门淋巴结转移。
咳嗽、咳痰带血丝、胸闷、气短、声音嘶哑、全身乏力、消瘦,CTCAE5.0分级均为1级,均考虑与肿瘤相关,均无处置。
【一线治疗】
患者入组《SHR-1316联合卡铂和依托泊苷对比安慰剂联合卡铂和依托泊苷一线治疗广泛期小细胞肺癌的随机、双盲、安慰剂对照、多中心的III期临床研究》(SHR-1316-III-301 研究),采用阿得贝利单抗联合卡铂和依托泊苷一线治疗。
【疗效评估】
影像学-增强CT检查:治疗2周期后,左肺病灶明显缩小达52.9%,疗效评估为PR。

CT检查——治疗2周期后
治疗6周期后,左肺病灶明显缩小达58.6%,疗效评估为PR。

CT检查——治疗6周期后
治疗8周期后,左肺病灶较前增加,疗效评估为PD。

CT检查——治疗8周期后
综合来看此次治疗过程中,靶病灶变化情况先缩小再增大。

病灶变化统计表

靶病灶变化统计图
【安全性评价】
治疗中共出现5种AE,3种与试验药物可能有关(贫血、GGT增高、高血糖症);2种肯定无关(中性粒细胞计数降低、白细胞数降低)。
无试验药物相关SAE,与试验药物相关3级AE为贫血,未处置。
【后续治疗】
本例患者于2020.03.05出组临床研究,2020.03.05行伊立替康+洛铂治疗1周期,疗效评估不详。
此后持续居家休养未继续治疗,最终患者于2021.02.13死亡,总生存期18个月。