精准 创新 科学 发展——介入中心完成省内首例CT引导联合3D模板指导125I放射性粒子植入治疗骨转移瘤
来源:吉林省肿瘤医院 时间:2018-12-14 浏览: 次
125I放射性粒子植入(组织间近距离放射治疗)是将125I放射性粒子植入肿瘤或其附近受癌浸润的组织中,对肿瘤组织持续发出低能量的γ射线,进行持续性、低剂量的放疗,最大程度的毁灭性杀伤肿瘤细胞,从而达到治疗目的,其优势为作用持久,操作创伤小,对正常组织的损伤较少,并发症少,疗效确切。但由于徒手穿刺准确性差,粒子布源不均匀,对病灶周围正常组织易造成过度辐射或照射冷区;另外徒手穿刺容易误伤神经、血管,严重制约着CT引导穿刺技术的普及与推广。
随着3D模板技术的诞生,克服了上述粒子植入技术的不足,使粒子植入技术真正达到了完全适形。介入中心医疗团队在王徽主任的带领下,潜心钻研、不断创新,于近日在省内圆满完成首例CT引导联合3D模板指导125I放射性粒子植入治疗骨转移瘤。
患者XX,男性,68岁,临床诊断为:右肺中心型肺癌(T2aN2M1 IV期)、右侧第5腰椎及椎旁软组织转移。患者右下肢活动受限,肌力3级,肌张力3级,主要临床症状表现为右侧腰部持续性刺痛,疼痛评分8分,影像学检查示骨转移病灶已侵犯至椎体导致椎体后缘骨质破坏及椎旁软组织受侵。为防止脊髓损伤,经科内会诊及讨论后决定,针对骨转移病灶区域行CT引导联合3D模板125I放射性粒子植入治疗。
实施过程:将患者CT图像首先输入放射治疗计划系统(TPS)内,依据肿瘤体积和应用单位粒子的剂量,计算出肿瘤的总放射剂量和所需粒子总数,并确定不同CT层面图像上所需排布粒子的数量和每颗粒子的位置,然后,在CT引导下将每颗粒子准确植入肿瘤内,术后再次通过TPS系统进行验证。本病例设计D90 120Gy,脊髓剂量<20Gy。
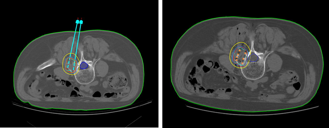
术前TPS计划


手术在CT引导下完成,术中应用由北京启麟科技公司提供的3D模板定位,进针入径为8个针道,准确将穿刺针依次植入肿瘤病灶内,根据TPS计划向病灶内植入30枚125I放射性粒子,整个术程顺利,无脊髓损伤等不良反应发生,术后1周患者疼痛症状逐渐缓解,疼痛评分降至3分。
术中应用3D模板精准定位及术后验证




术前、术后TPS计划对比完全吻合




吉林省肿瘤医院介入中心团队于2006年在省内首先开展125I放射性粒子植入术,多年来在肺癌、肺转移癌、肝癌、肝转移癌、骨转移瘤、软组织恶性肿瘤及多部位淋巴结转移等治疗上取得了明显的成效,此次应用3D打印模板完成CT引导下骨转移125I放射性粒子植入治疗,为我省粒子植入技术开创了先河,引领吉林省走入国际先进行列。3D打印模板是通过现代影像学技术、计算机辅助技术和导航系统的固定装置,通过模板指导下的操作,能使针道位置精准,粒子布源准确,手术安全快捷,提高了粒子植入治疗的精准率,具有更广泛的临床应用前景,为更多恶性肿瘤患者带来福音。
介入科 供稿