精准定位 精准治疗 为肺癌患者保驾护航
来源:吉林省肿瘤医院 时间:2019-05-07 浏览: 次
肺癌是临床上最常见的恶性肿瘤,发生率及死亡率呈逐年上升趋势,多数患者确诊时已是局部晚期或有远处转移,丧失了手术机会,因此综合治疗成为其主要治疗手段。根据肿瘤发生的部位可分为中心型和周围型肺癌,中心型肺癌发生在段支气管以上,肿瘤向心生长,使得易发生气管管腔闭塞及狭窄等情况发生,导致远端肺组织实变、萎缩,可融合于肿瘤组织产生实性包块,此类患者放疗为其重要的治疗手段之一。
放疗成功与否关键在于明确肿瘤的确切边界,正确勾画出放射治疗的靶区是保证治疗效果的基本条件。目前临床上放疗靶区的勾画主要以CT为基础,CT作为三维影像引导工具,在肺癌的精准定位放疗中发挥了重要作用。增强CT扫描对于肺癌具有良好的空间分辨率,能通过组织结构及组织密度等信息区分大部分肿瘤组织与肺不张组织。多数肺癌组织强化幅度低于肺不张组织,但当肺动脉受侵时可出现肿瘤组织强化幅度高于肺不张组织,膨胀不全的肺组织因为渗出、实变、炎症反应等原因所致的影像学改变与肿瘤组织特异的影像学变化有较大的重叠性以致CT平扫和增强都难以划分膨胀不全的肺组织和局部病变边界,这使得CT扫描在区分肿瘤组织与不张的肺组织有一定的局限性。因此当肺癌存在阻塞性肺炎、肺不张等情况时,增强CT较难判断肿瘤与邻近组织的真实边界。
PET⁃CT是目前诊断肺癌先进的、无创性的检查方法之一,它实现了功能影像和形态影像学的同机融合,可“一站式”检查全身各个器官的葡萄糖代谢情况,在肿瘤的定性、分期、疗效的监测中起到良好的作用。18F⁃FDG是一种最常用的正电子显像剂,由于大部分恶性肿瘤对葡萄糖消耗量明显增加,因而肿瘤细胞对18F⁃FDG摄取增高。标准化摄取值(standard uptake value,SUV)是反映病灶对18F⁃FDG摄取程度的半定量指标,即SUV值增高代表病灶部位葡萄糖的摄取增高,细胞增殖和生长能力旺盛,有恶性病变的可能。PET/CT能反映肿瘤组织细胞代谢,对指导肺癌分期、精确放疗、疗效判断具有重要的价值。
基于以上观点,科室现广泛开展了分子影像(PET-CT)引导下的三维调强放射治疗。该技术是利用PET-CT图像与定位CT图像进行同步融合,在融合图像上勾画调强放疗靶区(即生物靶区),使放疗靶区勾画达到了分子水平,有效识别了肿瘤与非肿瘤区域,明确了肿瘤精确体积及边界,提高了放射治疗“打靶”的准确性、精确性、有效性,更加有效的保护了肿瘤周围正常组织,降低了周围正常组织放疗相关并发症,进一步提高了肿瘤放疗的局部控制率。科室将PET/CT融合定位技术与CT模拟定位图像融合技术应用于中心型肺癌伴肺不张患者,取得了满意的治疗效果。

图1:患者,邹xx,男,61岁,临床诊断左肺鳞癌,经化疗2周期后病情进展。图A—增强CT示左肺下叶鳞癌伴左肺下页不张,肿瘤组织与不张肺组织边界难以界定;图B—PET/CT能够将肿瘤原发病灶和肺不张进行更好的区别。

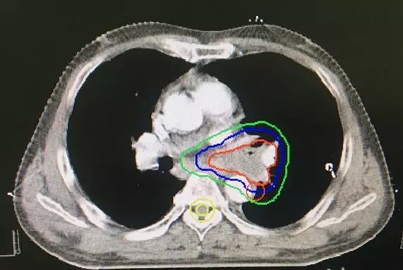
图2:PET/CT融合后进行精准放疗靶区勾画

图3:放射治疗15次后,不张的肺组织完全复张
科室在PCT/CT融合定位扫描技术的支持下,对肺癌患者实行精确定位、精确计划、精确放疗,优化肺癌的放疗设野计划,减少正常组织的照射体积及局部复发率,明显提高放疗的疗效,并减少的不良反应的发生。PET-CT定位的分子影像引导调强放射治疗技术的广泛开展,已惠及我省及周边地区的广大肿瘤患者,必将进一步提高肿瘤治疗水平,提升我院放射治疗的优势地位。
放疗三科供稿