吉林省肿瘤医院多学科协作成功完成极高危巨大甲状腺恶性肿瘤手术
来源: 时间:2026-03-30 浏览: 次
2026年3月19日,吉林省肿瘤医院湖光院区手术室上演一场生命保卫战。头颈外科甲状腺组、湖光院区麻醉科多学科团队联合攻坚、精准施策,成功攻克麻醉与手术双重极限难关,圆满完成一例极高危巨大甲状腺恶性肿瘤根治术,以硬核实力守护患者生命健康,充分彰显医院的技术担当与学科底蕴。
此次手术由头颈外科甲状腺组主任医师郑颖、湖光院区麻醉科主任杨静远领衔,头颈外科甲状腺组副主任医师王明,主治医师孙效松、魏郑超等专家团队紧密协作、全程护航。

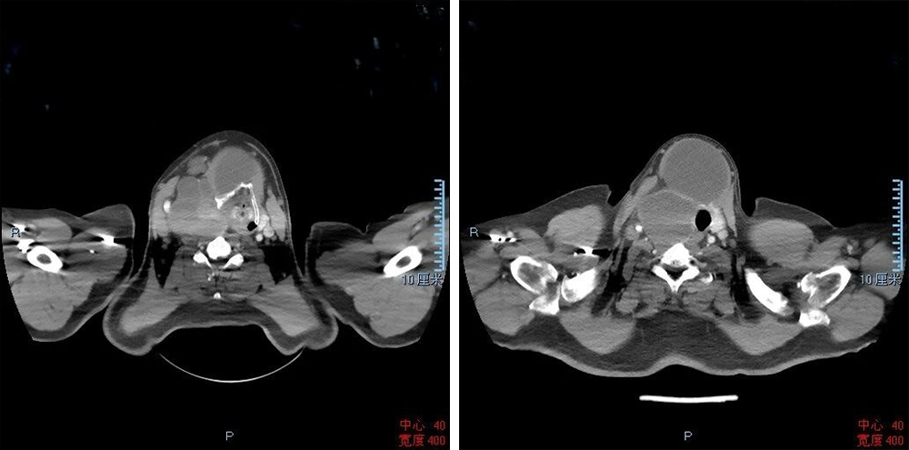
患者因巨大甲状腺恶性肿瘤入院,肿瘤体积达15×15厘米,长期重度压迫咽喉腔,致口咽上移、喉与气管严重偏移、气道显著狭窄,局部解剖结构完全畸变,属于极高危困难气道,常规麻醉插管无法实施,仅能采用保留自主呼吸的清醒气管插管。术前虽经深度镇静、充分表面麻醉等周密准备,术中可视喉镜与纤维支气管镜仍无法清晰显露声门,插管陷入绝境。危急时刻,患者血氧饱和度持续下降,生命通道亟待建立。杨静远主任凭借数十年临床积淀与精湛技艺,沉着实施困难气道盲插技术,一次操作精准到位,迅速搭建生命通路,为手术实施筑牢安全屏障。
麻醉险关攻克后,头颈外科团队正式启动手术。术中探查证实,患者病情远超术前评估:肿瘤体积巨大、侵袭性极强,已侵犯气管壁、食管壁,局部组织重度粘连、解剖层次完全紊乱,周边毗邻喉返神经、颈部大血管等关键结构,分离切除风险极高、操作难度极大。团队秉持精准、微创、安全的手术理念,沉着应战、精细操作,全程严密保护神经与血管功能,有序分离粘连组织,妥善修复受侵气管与食管,最终实现肿瘤完整根治性切除。手术全程患者生命体征平稳,高难度、高风险极限手术圆满收官。
此次手术的成功,是我院多学科协作的标志性突破,既刷新了我院在极高危困难气道管理领域的技术高度,也充分展现了头颈外科在处理晚期、复杂、侵犯重要脏器甲状腺肿瘤的顶尖综合诊疗能力。未来,医院将持续聚焦疑难重症诊疗,不断提升技术水平与服务能力,为广大患者提供更优质、更安全的医疗保障。
来源:吉林省肿瘤医院
供稿:头颈外科
图片来源:头颈外科
统稿编辑:宣传统战科
初审:王绪锐
复审:刘 刚
终审:梁长林